|
نه دهم ثروت در تجارت است |
یکی از کار های زیبایی که امروزه در تمام کشور های دنیا پیشرفت چشمگیری داشته زیبا سازی دندان ها می باشد که این کار می تواند نقش بسیار مهمی در زیبایی ظاهری برای فرد داشته باشد. اگر می خواهید بدانید هزینه لمینت سرامیکی چقدر است در ادامه این مطلب با ما همراه باشید.
هزینه لمینت سرامیکی دندان چقدر است
لمینت، کامپوزیت، بیلچینگ و روکش دندان از مواردی است که می تواند به دندان های شما زیبایی خاصی ببخشد. اگر این سوال برای شما پیش آمده است که هزینه لمینت سرامیکی دندان چقدر است باید بگوییم در مرحله اول به کار و سابقه دکتری که انتخاب می کنید بستگی دارد و در مرحله دوم به نوع موادی که در ترمیم دندان شما استفاده می شود هزینه آن متغییر می باشد. در لمینت دندان از مواد همرنگ با دندان استفاده می شود که برخی از مراجعه کنندگان تمایل دارند از موادی که رنگ آنها سفید تر است استفاده کنند که این یک امر سلیقه ای می باشد. این روش علاوه بر زیبایی یک روش درمانی هم می باشد مخصوصا برای افرادی که دندانهای آنها شکسته شده یا فاصله دارد که با این روش می تواند این عیوب را رفع کنند. 
بهتر است اگر دندانهای شما دارای فاصله زیادی است قبل از انجام لمینت یا کامپوزیت دندان خود را زیر نظر پزشک متخصص ارتودنسی نمایید که ممکن است این فاصله بعد از انجام این کار از بین برود و دیگر نیازی به انجام لمینت نباشد. قبل از انجام کارهای زیبایی بهتر است به دنبال بهترین دکتر انجام دهنده این کار باشید تا نتیجه کار شما رضایت بخش باشد. برای انجام لمینت یا هر کار زیبایی دیگر باید شرایط فک شما برای انجام کار ایده ال باشد که نظر دکتر در این مسئله مهم است. انجام لمینت سرامیکی در شرایط ایده ال طی دو جلسه سه ساعته انجام می پذیرد که در جلسه اول دندانهای شما در حد چند میلی متر تراشیده می شود اما این کار به ریشه دندان آسیبی وارد نمی کند و بعد از این کار قالب دندانهای شما گرفته می شود و به لابراتور ارسال می شود.
- بیشتر بخوانید: لمینت سرامیکی
در جلسه دوم دندانهای ساخته شده در لابراتور به صورت جداگانه و با کمک چسب بسیار قوی و اشعه UV به دندانهای اصلی شما چسبانده می شود و شما دارای لبخند بسیار زیبایی می شود. جنس به کار رفته در این لمینتها شبیه به جنس خود دندان می باشد با این تفاوت که دارای رنگ غیر طبیعی و سفیدی بیش از حد می باشد. 
هزینه لمینت سرامیکی نی نی سایت
اگر به دنبال تغییر فرم دندانهای خود و ایجاد لبخند زیبا هستید می توانید دندانهای خود را لمینت کنید. هزینه لمینت سرامیکی را می توانید از سایت های مختلف نظیر نی نی سایت و فروشگاه تجهیزات پزشکی و سایتهایی که در این زمینه فعالیت می کنند به دست آورید. برای نتیجه گیری عالی بهتر است به دکتر یا مراکزی که در این زمینه حرفه ای هستند مراجعه نمایید. بعد از لمینت بهتر است از مواد رنگی یا غذاهایی که حاوی رب یا ادویه می باشد استفاده نکنید و یا بلافاصله بعد از مصرف آن دهان خود را بشویید. این سبک کار باعث ایجاد اعتماد به نفس در افراد می شود و می تواند روابط اجتماعی افراد را قوت بخشد لمینت دندان نسبت به کامپوزیت دارای طول عمر بالاتری می باشد همچنین از ظرافت و زیبایی بیشتری برخوردار است. جنس و کیفیت لمینت به هزینه ای که پرداخت می کنید بستگی دارد و شما می توانید براساس بودجه ای که برای انجام این کار در نظر گرفته اید به متخصص این حرفه مراجعه نمایید. 
هزینه لمینت سرامیکی دندان نی نی سایت
جنس لمینت به دو نوع ونیر و سرامیکی تقسیم می شود که نوع ونیر آن دارای قیمت بالاتری از نوع سرامیکی می باشد و دارای طول عمر بالاتری است. هزینه لمینت سرامیکی نازک دندان در نی نی سایت و برخی دیگر از سایتها توسط برخی کلینیکها ذکر شده است که شما عزیزان در زمان مراجعه بهتر است از صحت آن با اطلاع شوید زیرا برخی از مراکز برای جلب مشتری به اخبار کذب روی می آورند و این سایتها در قبال دریافت وجه آن را اطلاع رسانی می کنند. اگر شما خواهان کیفیت هستید بهتر است به مراکز درمانی که دکتران آن دارای سابقه هستند مراجعه کنید.
عکس لمینت سرامیکی دندان
اگر قصد دارید دندانهای خود را روکش لمینت کنید بهتر است قبل از انجام آن تمام شرایط و ضوابط آن را بررسی نمایید و عکس لمینت سرامیکی دندان را با جستجو ساده در اینترنت ببینید و با در نظر گرفتن فرم صورت خود بهترین نوع آن را انتخاب کنید و البته برای نتیجه گیری بهتر باید کار را در نهایت به دکتر خود بسپارید. تمام عکسهایی که از لمینت دندان در سایت ما وجود دارد بدون هیچ گونه رتوش و ادیتی می باشد و شما می توانید با توجه به رنگی که دوس دارید لمنیت دندان خود را انتخاب کنید. 
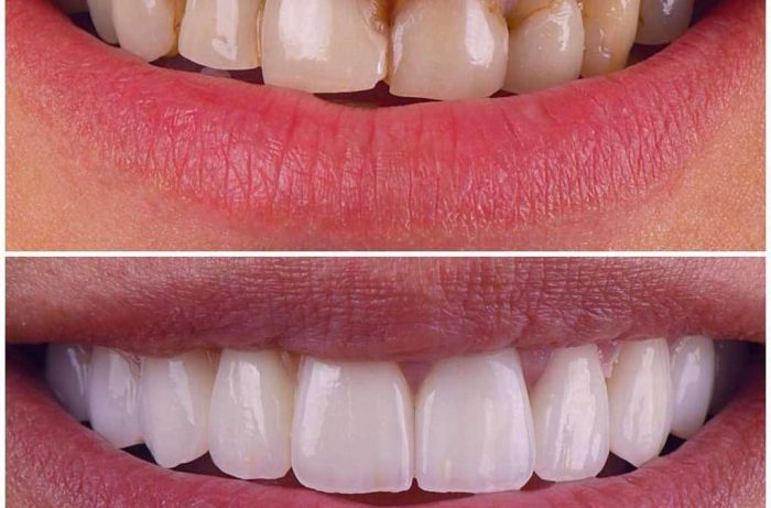
عکس قبل و بعد لمینت سرامیکی
امروزه با توجه به افزایش افرادی که دندان های خود را روکش، لمینت و کامپوزیت انجام دادهاند بسیار زیاد است به همین دلیل خراب بودن یا سفید رنگ نبودن دندانها بسیار به چشم می آید. شما می توانید با مراجعه به قسمت تصاویر سایت ما عکس قبل و بعد لیمنت سرامیکی مراجعه کنندگان را مشاهده نمایید و از کیفیت کار نهایی با اطلاع شوید. شما می توانید بر اساس نظر خود و مشورت با پزشک معالج رنگ لمینت خود را انتخاب نمایید. برای طبیعی جلوه نمودن این کار بهتر است از رنگ سفید یخچالی استفاده نکنید و بیشتر به سمت رنگ های نچرال بروید و از خوردن شیرینی جات مانند شکر و نبات زعفرانی جلو گیری کنید.
تصاویر لمینت سرامیکی
اگر این سوال برایتان پیش آمده است که لمینت سرامیکی به چه صورت بر روی دندانهای شما نصب می شود و در چه برند می باشد می توانید تصاویر و فیلمهایی که از انجام این کار در سایت موجود می باشد را مشاهده کنید و اگر مشکل یا سوالی در ذهنتان پیش آمده می توانید از مشاوران آنلاین مجموعه ما کمک بگیرید. انجام لمینت برای افرادی که دندان قروچه دارند گزینه مناسبی نمی باشد همچنین افرادی که لثه های آنان دچار پس رفت است می تواند این مشکل را بیشتر کند.
کتاب لمینت سرامیکی
اگر تازه از دانشگاه فارغ التحصیل شده اید و دوران کارورزی خود را پشت سر گذاشته اید و تمایل به شروع کار در حرفه دندان پزشکی را دارید باید در ابتدا تمام ملزومات مانند روپوش پزشکی آن را خریداری کنید که کتاب لمینت سرامیکی نیز جزئی از آن می باشد. 
لمینت سرامیکی به انگلیسی
در کشورهای مختلف برای زیبایی دهان از لمینت و کامپوزیت استفاده می کنند و به لمینت سرامیکی به انگلیسی Dental ceramic laminate گفته می شود. برای لمینت دندانهای خود می توانید به این مجموعه مراجعه نمایید و از پزشکان مورد تایید سازمان بهداشت و انجمن پزشکان کمک بگیرید. این مجموعه یکی از معتبرترین مراکز برای خرید و سفارش لمینت سرامیکی و ماسک سه بعدی می باشد که شما می توانید پس از معاینه توسط پزشک لمینت خود را سفارش دهید. مرکز ما با وجود مشاوران متخصص در این زمینه به شما کمک می کنند تا بهترین لمینت را سفارش دهید.